CMD Therapy
One attendant for the therapy of CMD is usually not sufficient. The interdisciplinary teamwork of dentists, orthopedics and other medical specialists, physiotherapists, osteopath etc. is preferable and necessary.
Basic therapy is dental treatment:
It should reestablish the harmonious play of body and mouth static.
A bio-dynamic function bracket should be placed, before irreversible measures are taken e.g. grinding-in or new dentures.
This – mostly positioned at the lower jaw – is detachable and evens out the difference of muscles and teeth enforced position of the lower jaw.
It should generally be an occlusal bracket in myocentrical and not habitual or treatment determined occlusion.
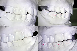
Differences can be noticed best in the following pictures:
The natural bite is achieved again with a bracket in myocentrical position.
With this an even pressure is placed on the cramped and shortened muscles and they can recover from the former inappropriate pressure.
The bracket influences the body statics, since the jaw muscles are connected to the neck muscles and they are in line with the back muscles. Now physiotherapy can have a constant positive affect for the first time, because the muscles are not exposed to the pathological constraint anymore.
The body´s static should be adjusted with a CMD experienced orthopedic. The discomfort will only improve or completely disappear, if the bracket has a positive influence on the body statics.
A good bracket quickly improves the condition and does not cause a relapse into the prior state after 3 to 6 weeks.
After 2 to 4 months a follow-up adjustment of the occlusion is reasonable. This follow-up adjustment has to be timed with the physiotherapist in order to gain an ideal registration of the occlusion.
Only after securing an improvement are the acute causes of CMD generally removed, such as corrections as grinding-in crowns which are too high or fillings, or tilted teeth.
Also note www.dgzmk.de/uploads/tx_szdgzmkdocuments/... (pdf file)
Furthermore there are more supporting methods which reduce the sensitivity of pain:
warmth and cold therapies, osteopadic measures, acupuncture, phytotherapy and relaxing techniques
can contribute to the success of a therapy or speed it up.
The choice of method is tuned to your individual need and comfort.
Further information about treatment possibilities can also be obtained here: www.ein-zahnarzt.de (Website in German language)




